Skip to content Skip to sidebar Skip to footer

Mobile Cecum Syndrome Symptoms

Cecal Volvulus Symptoms Causes Diagnosis And Treatment

Cecal Volvulus Symptoms Causes Diagnosis And Treatment

Mobile cecum syndrome symptoms. These patients all presented with chronic right lower quadrant abdominal pain with associated abdominal distention and symptomatic relief after passing flatus or having a bowel movement. Ehlers-Danlos syndrome hypermobility type EDS-HT mobile cecum ptosis laparoscopic. The phrase Mobile Cecum makes me laugh because I had my cecum removed.

Mobile cecum syndrome describes abdominal pain accompanied by a cecum that is not properly attached to the rest of the abdomen. Ballooning abdomen abdominal distension. 115 patients 10 had a mobile cecum syndrome CMS as defined by Nicole without evidence of appendicitis or other pathologic findings at operation.

A The cecum was rotated 360 clockwise and the blood sup- ply was well maintained. On the other hand a chronic form of mobile cecum syndrome which is the most common form reported a history of intermittent crampy abdominal pain. 82 of the 102 patients were free.

However stenosis with concentricity of the fold was observed in the cecum which was shifted upward and to the left. The patients symptoms resolved quickly after colonoscopic reduction and elective laparoscopic surgery was performed 18 days after admission. This report details the case of a patient with a mobile cecum associated with hEDS.

I am currently 37 years old and 25 years ago just a couple of weeks before my 35th birthday I had intense abdominal pain that turned out to be from an ischemic cecal volvulus that occurred due to mobile cecum syndrome. She was finally discharged with a dramatic resolution of her symptoms after laparoscopic cecopexy for mobile ce-cum. Thats about as mobile as you can get.

The mobile cecal syndrome is primarily a disease of children. I had an emergent right. 102 patients were followed up to 15 years after the operation.

B Mobile cecum was ascertain- ed after correcting the rota- tion. Abstract Five cases of mobile cecum syndrome are presented.

Mobile Cecum In A Young Woman With Eds Eds And Chronic Pain News Info

Mobile Cecum In A Young Woman With Eds Eds And Chronic Pain News Info

A View Of Mobile Cecum Syndrome On Laparoscopy Note The Lack Of Download Scientific Diagram

A View Of Mobile Cecum Syndrome On Laparoscopy Note The Lack Of Download Scientific Diagram

Case Of Colonic Intussusception Secondary To Mobile Cecum Syndrome Repaired By Laparoscopic Cecopexy Using A Barbed Wound Suture Device

Case Of Colonic Intussusception Secondary To Mobile Cecum Syndrome Repaired By Laparoscopic Cecopexy Using A Barbed Wound Suture Device

Surgery To Treat Symptomatic Mobile Cecum Syndrome Is Safe And Associated With Good Recovery Outcomes

Surgery To Treat Symptomatic Mobile Cecum Syndrome Is Safe And Associated With Good Recovery Outcomes

I Have What My Personal Experience With A Mobile Cecum Aging Like A Fine Wine

I Have What My Personal Experience With A Mobile Cecum Aging Like A Fine Wine

Case Of Colonic Intussusception Secondary To Mobile Cecum Syndrome Repaired By Laparoscopic Cecopexy Using A Barbed Wound Suture Device

Case Of Colonic Intussusception Secondary To Mobile Cecum Syndrome Repaired By Laparoscopic Cecopexy Using A Barbed Wound Suture Device

Hypermobile Eds Patient With Mobile Cecum Described In Case Study

Hypermobile Eds Patient With Mobile Cecum Described In Case Study

I Have What My Personal Experience With A Mobile Cecum Aging Like A Fine Wine

I Have What My Personal Experience With A Mobile Cecum Aging Like A Fine Wine

Surgery To Treat Symptomatic Mobile Cecum Syndrome Is Safe And Associated With Good Recovery Outcomes

Surgery To Treat Symptomatic Mobile Cecum Syndrome Is Safe And Associated With Good Recovery Outcomes

2

2

I Have What My Personal Experience With A Mobile Cecum Aging Like A Fine Wine

I Have What My Personal Experience With A Mobile Cecum Aging Like A Fine Wine

Pdf Surgery To Treat Symptomatic Mobile Cecum Syndrome Is Safe And Associated With Good Recovery Outcomes Semantic Scholar

Pdf Surgery To Treat Symptomatic Mobile Cecum Syndrome Is Safe And Associated With Good Recovery Outcomes Semantic Scholar

Surgery To Treat Symptomatic Mobile Cecum Syndrome Is Safe And Associated With Good Recovery Outcomes

Surgery To Treat Symptomatic Mobile Cecum Syndrome Is Safe And Associated With Good Recovery Outcomes

Mobile Cecum Syndrome

Mobile Cecum Syndrome

Case Of Colonic Intussusception Secondary To Mobile Cecum Syndrome Repaired By Laparoscopic Cecopexy Using A Barbed Wound Suture Device

Case Of Colonic Intussusception Secondary To Mobile Cecum Syndrome Repaired By Laparoscopic Cecopexy Using A Barbed Wound Suture Device

Pdf Laparoscopic Management Of Mobile Cecum

Pdf Laparoscopic Management Of Mobile Cecum

Mobile Cecum Syndrome

Mobile Cecum Syndrome

An Unusual Presentation Of Acute Appendicitis With Mobile Cecum Syndrome Pediatrics Neonatology

An Unusual Presentation Of Acute Appendicitis With Mobile Cecum Syndrome Pediatrics Neonatology

Surgery To Treat Symptomatic Mobile Cecum Syndrome Is Safe And Associated With Good Recovery Outcomes

Surgery To Treat Symptomatic Mobile Cecum Syndrome Is Safe And Associated With Good Recovery Outcomes

Mobile Cecum Syndrome Radiology Case Radiopaedia Org

Mobile Cecum Syndrome Radiology Case Radiopaedia Org

Chilaiditi Syndrome Causes Symptoms Treatment Prevention Prognosis Recovery

Chilaiditi Syndrome Causes Symptoms Treatment Prevention Prognosis Recovery

2

2

Mobile Cecum Syndrome

Mobile Cecum Syndrome

1

1

2

2

An Unusual Presentation Of Acute Appendicitis With Mobile Cecum Syndrome Pediatrics Neonatology

An Unusual Presentation Of Acute Appendicitis With Mobile Cecum Syndrome Pediatrics Neonatology

A View Of Mobile Cecum Syndrome On Laparoscopy Note The Lack Of Download Scientific Diagram

A View Of Mobile Cecum Syndrome On Laparoscopy Note The Lack Of Download Scientific Diagram

Surgery To Treat Symptomatic Mobile Cecum Syndrome Is Safe And Associated With Good Recovery Outcomes

Surgery To Treat Symptomatic Mobile Cecum Syndrome Is Safe And Associated With Good Recovery Outcomes

Mobile Cecum Radiology Reference Article Radiopaedia Org

Mobile Cecum Radiology Reference Article Radiopaedia Org

Gale Academic Onefile Document Surgery To Treat Symptomatic Mobile Cecum Syndrome Is Safe And Associated With Good Recovery Outcomes

Gale Academic Onefile Document Surgery To Treat Symptomatic Mobile Cecum Syndrome Is Safe And Associated With Good Recovery Outcomes

An Unusual Cause Of Colic

An Unusual Cause Of Colic

Pdf Surgery To Treat Symptomatic Mobile Cecum Syndrome Is Safe And Associated With Good Recovery Outcomes Semantic Scholar

Pdf Surgery To Treat Symptomatic Mobile Cecum Syndrome Is Safe And Associated With Good Recovery Outcomes Semantic Scholar

Diagnosis And Treatment Of Caecal Volvulus Postgraduate Medical Journal

Diagnosis And Treatment Of Caecal Volvulus Postgraduate Medical Journal

Pdf Mobile Cecum In A Young Woman With Ehlers Danlos Syndrome Hypermobility Type A Case Report And Review Of The Literature

Pdf Mobile Cecum In A Young Woman With Ehlers Danlos Syndrome Hypermobility Type A Case Report And Review Of The Literature

Cecal Volvulus In Adolescence Presenting As Recurring Visits For Abdominal Pain The Western Journal Of Emergency Medicine

Cecal Volvulus In Adolescence Presenting As Recurring Visits For Abdominal Pain The Western Journal Of Emergency Medicine

Diagnosis And Treatment Of Caecal Volvulus Postgraduate Medical Journal

Diagnosis And Treatment Of Caecal Volvulus Postgraduate Medical Journal

Mobile Cecum Syndrome

Mobile Cecum Syndrome

Mobile Cecum Syndrome

Mobile Cecum Syndrome

Internal Hernia With Incarceration Of The Cecum Through A Loop Created By An Elongated Fallopian Tube Sciencedirect

Internal Hernia With Incarceration Of The Cecum Through A Loop Created By An Elongated Fallopian Tube Sciencedirect

Caecal Volvulus Intechopen

Caecal Volvulus Intechopen

Cecal Volvulus Associated With Mobile Cecum In Cornelia De Pages 1 3 Flip Pdf Download Fliphtml5

Cecal Volvulus Associated With Mobile Cecum In Cornelia De Pages 1 3 Flip Pdf Download Fliphtml5

2

2

Successful Treatment Of Adult Cecorectal Intussusception Caused By Cecum Cancer With Mobile Cecum A Case Report Surgical Case Reports Full Text

Successful Treatment Of Adult Cecorectal Intussusception Caused By Cecum Cancer With Mobile Cecum A Case Report Surgical Case Reports Full Text

Gale Academic Onefile Document Surgery To Treat Symptomatic Mobile Cecum Syndrome Is Safe And Associated With Good Recovery Outcomes

Gale Academic Onefile Document Surgery To Treat Symptomatic Mobile Cecum Syndrome Is Safe And Associated With Good Recovery Outcomes

Pdf Surgery To Treat Symptomatic Mobile Cecum Syndrome Is Safe And Associated With Good Recovery Outcomes Semantic Scholar

Pdf Surgery To Treat Symptomatic Mobile Cecum Syndrome Is Safe And Associated With Good Recovery Outcomes Semantic Scholar

Rectal Cancer Ascrs

Rectal Cancer Ascrs

Pdf Surgery To Treat Symptomatic Mobile Cecum Syndrome Is Safe And Associated With Good Recovery Outcomes

Pdf Surgery To Treat Symptomatic Mobile Cecum Syndrome Is Safe And Associated With Good Recovery Outcomes

2

2

1

1

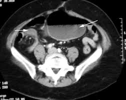
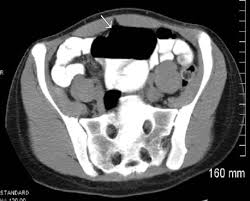
The patients symptoms resolved quickly after colonoscopic reduction and elective laparoscopic surgery was performed 18 days after admission.

The patients symptoms resolved quickly after colonoscopic reduction and elective laparoscopic surgery was performed 18 days after admission. A planned surgery is not fun but an emergency surgery for a twisted colon would be even worse. Based on these findings we diagnosed cecal volvulus caused by mobile cecum syndrome. On the other hand a chronic form of mobile cecum syndrome which is the most common form reported a history of intermittent crampy abdominal pain distension and constipation. However it may be present as a precursor of frank cecal volvulus in approximately 50 per cent of the cases. 102 patients were followed up to 15 years after the operation. Abstract Five cases of mobile cecum syndrome are presented. Ehlers-Danlos syndrome hypermobility type EDS-HT mobile cecum ptosis laparoscopic. The following symptoms may be experienced with cecal volvulus.


On the other hand a chronic form of mobile cecum syndrome which is the most common form reported a history of intermittent crampy abdominal pain distension and constipation. It lies at the junction of the small and the large intestines and is the origin of the appendix. Ballooning abdomen abdominal distension. Thats about as mobile as you can get. The following symptoms may be experienced with cecal volvulus. A mobile caecum and ascending colon is a rare congenital abnormality. The cecal volvulus represents the acute form with typical feature of a bowel obstruction that needs immediate operative treatment.

Post a Comment for "Mobile Cecum Syndrome Symptoms"