Skip to content Skip to sidebar Skip to footer

Herpes Im Mund Welcher Arzt

Herpes Im Mund Was Kann Man Dagegen Tun Zava Dred

Herpes Im Mund Was Kann Man Dagegen Tun Zava Dred

Herpes im mund welcher arzt. Zudem können schmerzlindernde und fiebersenkende Mittel hilfreich sein etwa Zäpfchen oder Saft mit Ibuprofen oder Paracetamol. Ja bei einem Ausbruch von Genitalherpes sollte immer ein Arzt aufgesucht werden und das schnellstmöglich. Dieses kann sich jahrelang im Körper befinden ohne Symptome auszulösen.

Ponyo Sur La Falaise Streaming. Damit lassen sich Entzündungen und Schmerzen im Mund abschwächen. Rezepte bei Herpes Vitamin C Magnesium Zink und ein günstiges Verhältnis von Aminosäuren.

Vilka Kolhydrater Ska Man äta. Muss ich mit Genitalherpes wirklich zum Arzt. Es kann aber auch zu Symptomen im Gesicht an den Augen oder im Mund kommen.

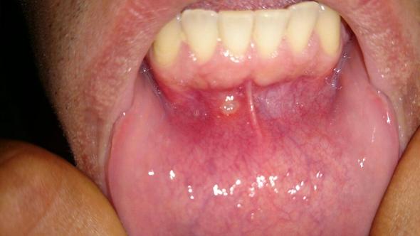
Herpes Im Mund Arzt. Welcher Arzt Behandelt Herpes Im Mund. Herpes Im Mund Arzt.

Sorgen Sie dafür dass Ihre Mundschleimhaut immer gut befeuchtet ist. Herpes Im Mund Ansteckend. Eine Auswahl an leckeren Rezepten für Menschen die von Fieberbläschen geplagt werden.

Bei einer Herpes Infektion in und an Nase Augen und Ohren sollten Sie daher auf jeden Fall zu einem Arzt gehen. Welcher Arzt Behandelt Herpes Im Mund. Besteht der Verdacht auf eine Entzündung im Bereich von Augen Nase Hals Ohren oder im Gehirn dann wird in der Regel eine Untersuchung durch den Facharzt Augenarzt HNO-Arzt oder Neurologe erfolgen.

Nehmen Sie auch sonst zweimal im Jahr zahnärztliche Kontrollen wahr. Herpes Im Mund Bilder.

Herpes Im Mund Erkennen Und Behandeln Lippenherpes Ratgeber

Herpes Im Mund Erkennen Und Behandeln Lippenherpes Ratgeber

Herpes Im Mund Ursachen Und Die Besten Tipps Brigitte De

Herpes Im Mund Ursachen Und Die Besten Tipps Brigitte De

Herpes Simplex Infektion Im Mund Deximed

Herpes Simplex Infektion Im Mund Deximed

Herpes Im Mund Und Rachen Durch Herpesviren

Herpes Im Mund Und Rachen Durch Herpesviren

Blaschen Im Mundraum Herpes Gurtelrose Bild Mit Bild Arzt Krankheit Krank

Blaschen Im Mundraum Herpes Gurtelrose Bild Mit Bild Arzt Krankheit Krank

Mundfaule Symptome Behandlung Vorbeugung Netdoktor

Mundfaule Symptome Behandlung Vorbeugung Netdoktor

Stomatitis Mundfaule Ursachen Symptome Behandlung

Stomatitis Mundfaule Ursachen Symptome Behandlung

Mundfaule Das Hilft Gegen Die Brennenden Schmerzen Familie De

Mundfaule Das Hilft Gegen Die Brennenden Schmerzen Familie De

Herpes Im Mund Wie Kommt Es Dazu Und Wie Wird Behandelt

Herpes Im Mund Wie Kommt Es Dazu Und Wie Wird Behandelt

Herpes Im Mund Ursachen Und Die Besten Tipps Brigitte De

Herpes Im Mund Ursachen Und Die Besten Tipps Brigitte De

Herpes Im Mund Ausloser Und Behandlung Heilpraxis

Herpes Im Mund Ausloser Und Behandlung Heilpraxis

Herpes Im Mund

Herpes Im Mund

Lippenherpes Ursachen Symptome Und Behandlung Der Infektion

Lippenherpes Ursachen Symptome Und Behandlung Der Infektion

Aphten Das Hilft Gegen Schmerzhafte Blaschen

Aphten Das Hilft Gegen Schmerzhafte Blaschen

Wie Feuer Im Mund

Wie Feuer Im Mund

Herpes Im Mund Was Hilft Finger Weg Von Hausmitteln

Herpes Im Mund Was Hilft Finger Weg Von Hausmitteln

Herpes An Lippen Oder Nase Richtig Behandeln Ndr De Ratgeber Gesundheit

Herpes An Lippen Oder Nase Richtig Behandeln Ndr De Ratgeber Gesundheit

Herpes Symptome Ubertragung Behandlung

Herpes Symptome Ubertragung Behandlung

Lippenherpes Behandlung Verlauf Ursachen Onmeda De

Lippenherpes Behandlung Verlauf Ursachen Onmeda De

Herpes Warum Die Blaschen An Lippen Nur Einige Menschen Qualen Stern De

Herpes Warum Die Blaschen An Lippen Nur Einige Menschen Qualen Stern De

Wie Gefahrlich Ist Herpes Furs Baby Zava Dred

Wie Gefahrlich Ist Herpes Furs Baby Zava Dred

Herpesblaschen Das Sollten Sie Wissen Und Jetzt Tun Gala De

Herpesblaschen Das Sollten Sie Wissen Und Jetzt Tun Gala De

Https Encrypted Tbn0 Gstatic Com Images Q Tbn And9gcs Efsycoyetub5nhjvzozizmmsfvk8ilh0stk7h9i Usqp Cau

Https Encrypted Tbn0 Gstatic Com Images Q Tbn And9gcs Efsycoyetub5nhjvzozizmmsfvk8ilh0stk7h9i Usqp Cau

Herpes Simplex Herpes Genitalis Herpes Labialis

Herpes Simplex Herpes Genitalis Herpes Labialis

Mundschleimhautentzundungn Stomatitis Focus Arztsuche

Mundschleimhautentzundungn Stomatitis Focus Arztsuche

Herpes Bei Babys Kleine Blaschen Grosse Gefahr

Herpes Bei Babys Kleine Blaschen Grosse Gefahr

Herpesblaschen Das Sollten Sie Wissen Und Jetzt Tun Gala De

Herpesblaschen Das Sollten Sie Wissen Und Jetzt Tun Gala De

Herpes Simplex Ursachen Symptome Behandlung Medlexi De

Herpes Simplex Ursachen Symptome Behandlung Medlexi De

Wie Gefahrlich Ist Herpes Und Was Kann Ich Dagegen Tun Gesundheit

Wie Gefahrlich Ist Herpes Und Was Kann Ich Dagegen Tun Gesundheit

Was Sie Tun Konnen Wenn Babys Herpes Haben

Was Sie Tun Konnen Wenn Babys Herpes Haben

Sport Bei Lippenherpes Runner S World

Sport Bei Lippenherpes Runner S World

Lippenherpes Ursachen Symptome Und Behandlung Der Infektion

Lippenherpes Ursachen Symptome Und Behandlung Der Infektion

Schmerzhafte Aphten Richtig Behandeln Derma Plus

Schmerzhafte Aphten Richtig Behandeln Derma Plus

Herpes Im Gesicht Was Ist Zu Beachten Zava Dred

Herpes Im Gesicht Was Ist Zu Beachten Zava Dred

Aphthen Im Mund Ursachen Symptome Behandlung Hausmittel

Aphthen Im Mund Ursachen Symptome Behandlung Hausmittel

Selbsttest Habe Ich Herpes

Selbsttest Habe Ich Herpes

Infektionen Mit Herpes Simplex Viren Hsv Infektionen Msd Manual Ausgabe Fur Patienten

Infektionen Mit Herpes Simplex Viren Hsv Infektionen Msd Manual Ausgabe Fur Patienten

Lippenherpes Ursachen Symptome Behandlung Meine Gesundheit

Lippenherpes Ursachen Symptome Behandlung Meine Gesundheit

Aphthe Im Mund Was Lost Sie Aus Die Besten Tipps Zur Behandlung Stern De

Aphthe Im Mund Was Lost Sie Aus Die Besten Tipps Zur Behandlung Stern De

Lippenherpes Wo Kommt Er Her Und Wie Wird Man Ihn Wieder Los

Lippenherpes Wo Kommt Er Her Und Wie Wird Man Ihn Wieder Los

Lippenherpes Herpes Labialis Ursachen Beschwerden Diagnose Behandlung Prognose Vorbeugung Gesundmed Medizin Und Gesundheit Im Web

Lippenherpes Herpes Labialis Ursachen Beschwerden Diagnose Behandlung Prognose Vorbeugung Gesundmed Medizin Und Gesundheit Im Web

Selbstmedikation Finger Weg Vom Herpes

Selbstmedikation Finger Weg Vom Herpes

Viruserkrankung Lippenherpes Ist Unschon Und Nicht Immer Harmlos Welt

Viruserkrankung Lippenherpes Ist Unschon Und Nicht Immer Harmlos Welt

Herpes Im Mund Ausloser Ansteckungsgefahr Diagnose Netdoktor

Herpes Im Mund Ausloser Ansteckungsgefahr Diagnose Netdoktor

Ist Das Herpes Am Gaumen Gesundheit Und Medizin Medizin Arzt

Ist Das Herpes Am Gaumen Gesundheit Und Medizin Medizin Arzt

Herpes Bei Kindern Wie Gefahrlich Ist Es Wie Lippenherpes Behandeln Wiado De

Herpes Bei Kindern Wie Gefahrlich Ist Es Wie Lippenherpes Behandeln Wiado De

Https Encrypted Tbn0 Gstatic Com Images Q Tbn And9gcq3bxqlnymnh067vzjajpr2wdunvx6q4r7dceyvnhixkg5cu2jo Usqp Cau

Https Encrypted Tbn0 Gstatic Com Images Q Tbn And9gcq3bxqlnymnh067vzjajpr2wdunvx6q4r7dceyvnhixkg5cu2jo Usqp Cau

Dieses kann sich jahrelang im Körper befinden ohne Symptome auszulösen.

Rezepte bei Herpes Vitamin C Magnesium Zink und ein günstiges Verhältnis von Aminosäuren. Dieses kann sich jahrelang im Körper befinden ohne Symptome auszulösen. Es kann aber auch zu Symptomen im Gesicht an den Augen oder im Mund kommen. Herpes Im Mund Ansteckend. Nehmen Sie auch sonst zweimal im Jahr zahnärztliche Kontrollen wahr. Hotel Grand Continental Kuala Terengganu. Zu den häufigsten Formen einer Herpesviren Erkrankung gehört der Lippenherpes und der Nasenherpes. Herpes Im Mund Arzt. Genitalherpes verläuft häufig sehr schmerzhaft und bringt neben den lokalen Beschwerden durch die Bläschen auch oftmals Fieber Gliederschmerzen und geschwollene Lymphknoten mit sich.


Dieser Arzt behandelt die Mundfäule beim Erwachsenen. Herpes Im Mund Arzt. Die Mundtrockenheit ist ein Risikofaktor für die Stomatitis. Herpes Im Mund Ansteckend. Herpes Im Mund Arzt. Kommt es zu einem akuten Ausbruch kribbelt juckt oder spannt die Haut an der betroffenen Stelle. Welcher Arzt Bei Herpes Im Mund.

Post a Comment for "Herpes Im Mund Welcher Arzt"